Real cases • Real people

Real Smiles, Real Results

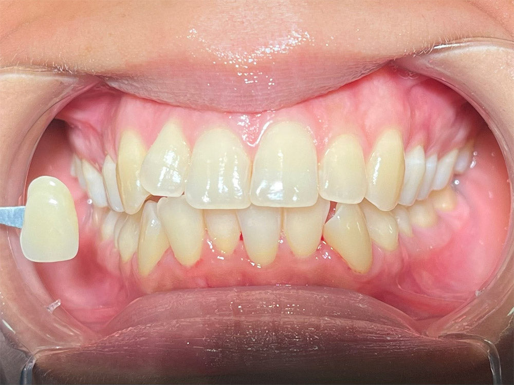
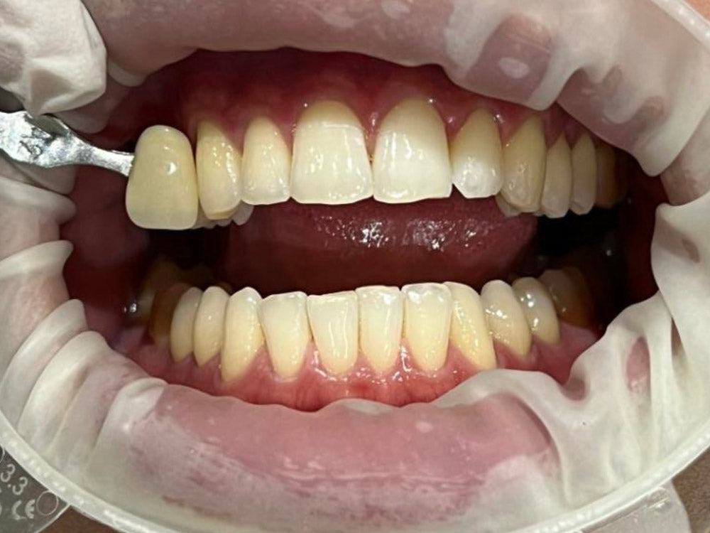
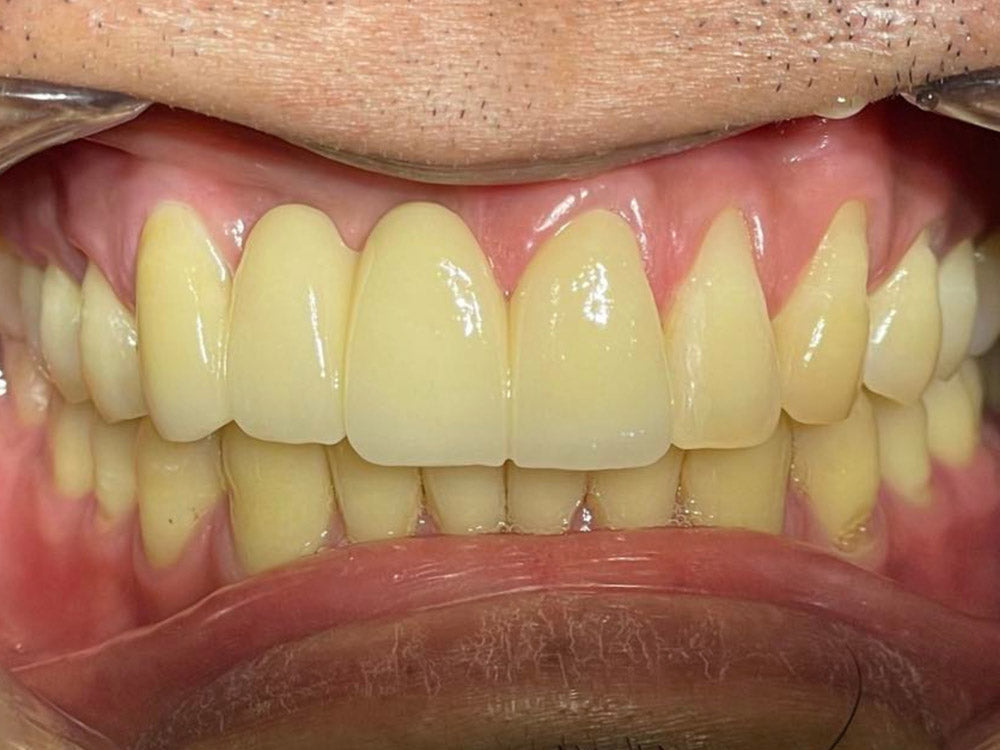
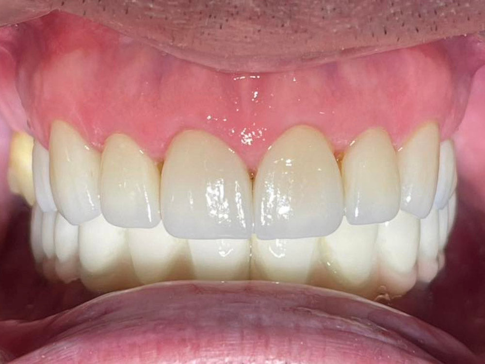
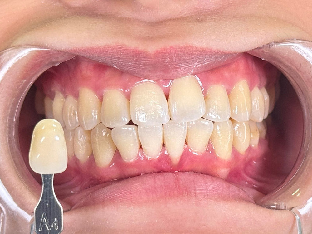
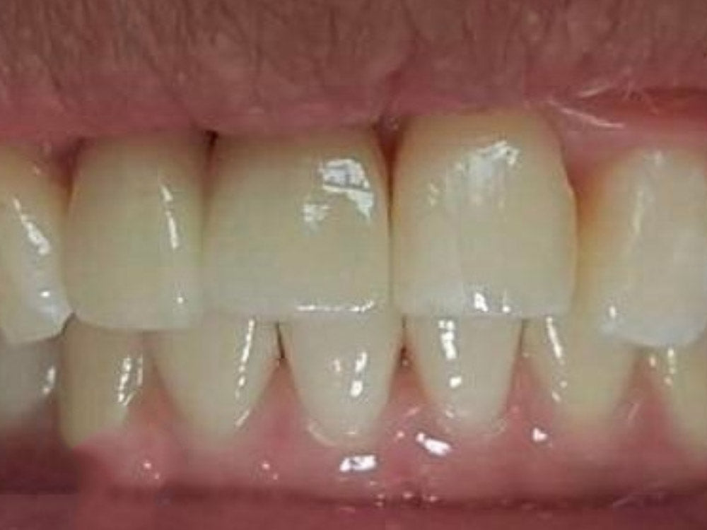
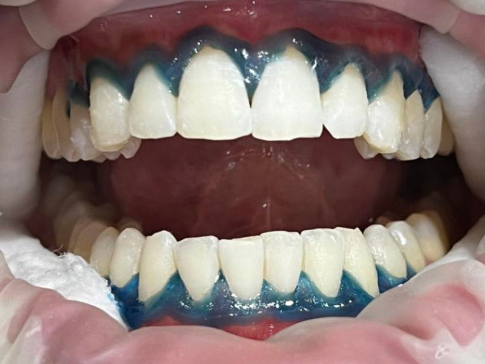
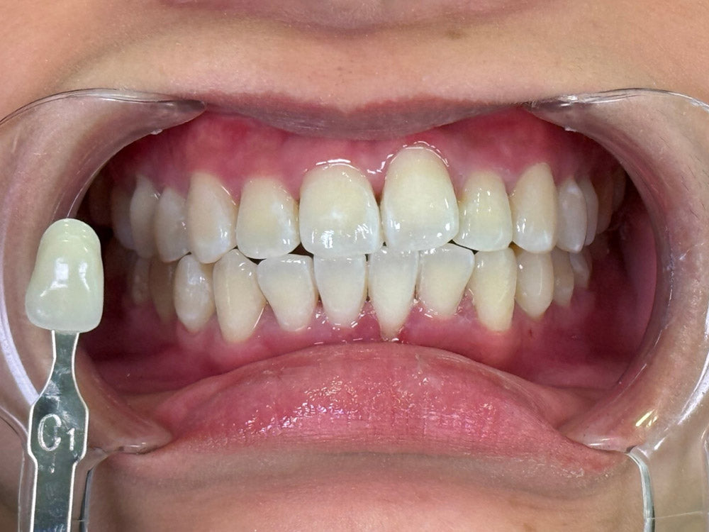
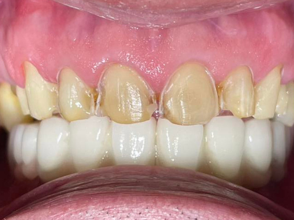
Browse our before‑and‑after gallery across whitening, veneers, braces, implants, dentures, and gum therapy. Every case is personalized to your face, bite, and goals.

Photos shared with permission. Individual results vary.

Book Your Consultation

No pressure, no hard sell. We’ll recommend the option that fits your comfort, budget, and smile.

Main Hotline:
0917-1649099
Pasig Branch
GF Shine Residences, Renaissance Center, Meralco Ave., Pasig
Mondays - Saturdays 10am-7pm, Sundays 8am-5pm
Mandaluyong Branch
Rockwell Business Center – Sheridan, Mandaluyong
  OR   Tap to Call 0917‑1649099

We respect your privacy. Your details are used only to contact you about your appointment.